
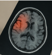
얼굴·팔다리 마비
거울 속 내 미소가 한쪽으로 기운다면 이미 반대쪽 뇌혈류가 막혔을 가능성이 큽니다. 팔을 눈높이로 들어 10초 유지해 보세요. 한쪽이 서서히 떨어지면 뇌경색 초기증상 가운데 가장 빈도가 높은 편측 마비일 수 있습니다. 저는 직장 동료의 입꼬리가 삐뚤어짐을 보고 즉시 119를 불렀고, 35분 만에 혈전용해술을 받아 큰 후유증 없이 회복한 사례를 경험했습니다. 🖐️



말하기·이해 장애
“오늘 회의 준비 됐어?” 같은 평소 문장을 따라 말해 보거나 읽어 보도록 하세요. 발음이 뒤 엉기거나 단어가 끊긴다면 언어 중추가 혈류를 공급받지 못하는 신호입니다. 간혹 청자는 또렷하게 답하지만 질문 의미를 이해하지 못해 동문서답을 하는데, 이것 역시 뇌경색 초기증상 중 ‘실어증’에 해당합니다. 가족이 의심되면 질문과 대답을 스마트폰으로 녹음해 응급실에 제시하면 진단 시간을 단축할 수 있습니다. 🎤



시야·시선 변화
한쪽 눈이 까맣게 가리거나, 물체가 둘로 보이는 복시는 후대뇌동맥 영역 허혈 가능성이 높습니다. 저는 노트북 화면 글자가 두 줄로 갈라져 보이는 순간을 ‘눈의 피로’로 넘겼다가 2시간 뒤 심한 현기증에 응급실로 달려간 경험이 있습니다. 시야 흐림이 5분 이상 지속될 땐 바로 병원을 찾으면 뇌경색 진행 전 막힌 혈관을 열 수 있습니다. 📱



어지럼·보행 불안
평균대 위를 걷듯 한 걸음씩 내디뎠는데 몸이 한쪽으로 기운다면 소뇌 또는 뇌간 손상 신호입니다. 어지럼이 단순 기립성 저혈압인지 구분하려면 누운 상태에서 30초 휴식 후 다시 일어서 보세요. 그래도 균형이 휘청이면 뇌경색 초기증상일 확률이 높습니다. 고주파 이명을 동반하면 즉시 진료를 받아야 합니다.



극심한 두통
갑자기 ‘망치로 맞은 듯한’ 두통이 나타났다면 출혈성 가능성이 먼저 떠오르지만, 중대뇌동맥 폐색도 뇌압 상승으로 같은 통증을 유발합니다. 특히 고혈압·당뇨 환자가 번개 같은 두통과 구토를 동시에 겪으면 뇌경색 초기증상으로 판단해 지체 없이 119를 호출해야 합니다. 🩸



FAST 점검·대처
Face—웃어 보게 하여 비대칭 확인
Arms—팔을 들어 유지해 팔힘 체크
Speech—짧은 문장 반복해 발음 확인
Time—한 항목이라도 이상이면 즉시 119 호출
저는 가족 단톡방에 FAST 영상을 공유해 예습시켜 두었고, 덕분에 어머니가 새벽에 얼굴 감각 이상을 느꼈을 때 30분 만에 대학병원으로 이송할 수 있었습니다. 시간이 곧 생존율·후유증을 결정한다는 점을 명심하세요. 🚑



결국, 얼굴·언어·시야·균형·두통 가운데 하나라도 새로 시작됐다면 다섯 번 언급한 뇌경색 초기증상이라는 키워드를 기억하고 바로 의료기관으로 향해야 합니다. 골든타임은 세 시간, 망설임은 평생의 후유증이 될 수 있습니다. 🕒



![]() |
![]() |
![]() |
![]() |
![]() |
'건강' 카테고리의 다른 글
| 울쎄라 효과 가격 후기 (2) | 2025.06.13 |
|---|---|
| 푸룬 효능 먹어본 후기 (6) | 2025.06.11 |
| 멜라토닌 핵심 요약 (1) | 2025.06.11 |
| 백내장 증상(검진,수술) (6) | 2025.06.10 |
| 구기자 효능 (3) | 2025.06.08 |
| 간수치가 높으면 나타나는 증상 (2) | 2025.06.07 |
| 오디 효능 부작용 (7) | 2025.06.06 |
| 당화혈색소 정상치 단계별 후기 (6) | 2025.06.04 |




